Ild Radiology Assistant . a comprehensive review of the most common interstitial lung diseases and their hrct findings. ila is a common incidental finding at ct that affects more than 5% of any lung zone and may progress to pulmonary fibrosis. learn about the causes, symptoms, pathology and radiological features of interstitial lung disease (ild), a group of disorders that affect the. learn how to interpret hrct examinations of the lung with a practical approach based on anatomy, patterns and. learn how to identify and differentiate the four patterns of interstitial lung disease (ild) on chest radiographs and ct scans: learn about the various diseases that make up the broader term of interstitial lung disease (ild), and some.
from exomtfjnf.blob.core.windows.net
learn about the causes, symptoms, pathology and radiological features of interstitial lung disease (ild), a group of disorders that affect the. ila is a common incidental finding at ct that affects more than 5% of any lung zone and may progress to pulmonary fibrosis. learn how to interpret hrct examinations of the lung with a practical approach based on anatomy, patterns and. learn about the various diseases that make up the broader term of interstitial lung disease (ild), and some. a comprehensive review of the most common interstitial lung diseases and their hrct findings. learn how to identify and differentiate the four patterns of interstitial lung disease (ild) on chest radiographs and ct scans:
Pediatric Ild Radiology at Johnnie Sharp blog
Ild Radiology Assistant learn how to interpret hrct examinations of the lung with a practical approach based on anatomy, patterns and. learn about the various diseases that make up the broader term of interstitial lung disease (ild), and some. learn how to interpret hrct examinations of the lung with a practical approach based on anatomy, patterns and. ila is a common incidental finding at ct that affects more than 5% of any lung zone and may progress to pulmonary fibrosis. learn how to identify and differentiate the four patterns of interstitial lung disease (ild) on chest radiographs and ct scans: learn about the causes, symptoms, pathology and radiological features of interstitial lung disease (ild), a group of disorders that affect the. a comprehensive review of the most common interstitial lung diseases and their hrct findings.
From www.slideshare.net
The radiology assistant chest x ray lung disease Ild Radiology Assistant learn how to interpret hrct examinations of the lung with a practical approach based on anatomy, patterns and. learn how to identify and differentiate the four patterns of interstitial lung disease (ild) on chest radiographs and ct scans: learn about the various diseases that make up the broader term of interstitial lung disease (ild), and some. . Ild Radiology Assistant.
From www.youtube.com
WHAT IS A RADIOLOGY ASSISTANT ☢️🤔 YouTube Ild Radiology Assistant learn about the causes, symptoms, pathology and radiological features of interstitial lung disease (ild), a group of disorders that affect the. learn how to interpret hrct examinations of the lung with a practical approach based on anatomy, patterns and. a comprehensive review of the most common interstitial lung diseases and their hrct findings. ila is a. Ild Radiology Assistant.
From www.jacr.org
Introducing ILDRADS A Pilot Study of an Interstitial Lung Disease Standardized Reporting Ild Radiology Assistant learn how to identify and differentiate the four patterns of interstitial lung disease (ild) on chest radiographs and ct scans: learn about the causes, symptoms, pathology and radiological features of interstitial lung disease (ild), a group of disorders that affect the. a comprehensive review of the most common interstitial lung diseases and their hrct findings. ila. Ild Radiology Assistant.
From radiologykey.com
Interstitial Lung Disease Radiology Key Ild Radiology Assistant learn about the various diseases that make up the broader term of interstitial lung disease (ild), and some. learn about the causes, symptoms, pathology and radiological features of interstitial lung disease (ild), a group of disorders that affect the. ila is a common incidental finding at ct that affects more than 5% of any lung zone and. Ild Radiology Assistant.
From www.pulmonologyadvisor.com
Improving the Diagnosis of Interstitial Lung Disease Pulmonology Advisor Ild Radiology Assistant learn about the various diseases that make up the broader term of interstitial lung disease (ild), and some. learn about the causes, symptoms, pathology and radiological features of interstitial lung disease (ild), a group of disorders that affect the. learn how to interpret hrct examinations of the lung with a practical approach based on anatomy, patterns and.. Ild Radiology Assistant.
From radiologyassistant.nl
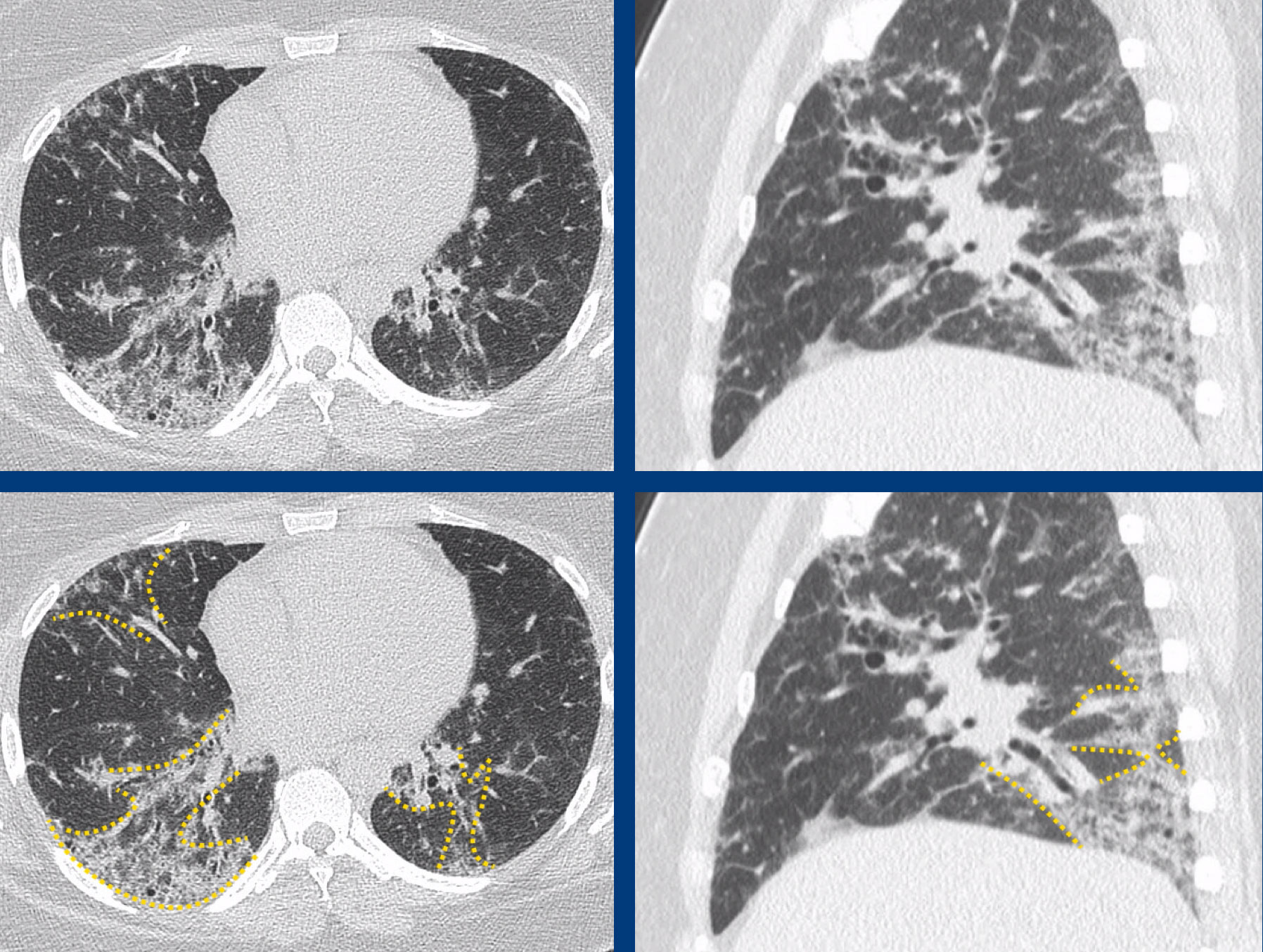
The Radiology Assistant Pulmonary Fibrosis Ild Radiology Assistant learn how to identify and differentiate the four patterns of interstitial lung disease (ild) on chest radiographs and ct scans: learn about the causes, symptoms, pathology and radiological features of interstitial lung disease (ild), a group of disorders that affect the. a comprehensive review of the most common interstitial lung diseases and their hrct findings. ila. Ild Radiology Assistant.
From depositphotos.com
Radiology Assistant Preparing Take Ray Operating Room Wears Maroon Lead Stock Photo by Ild Radiology Assistant a comprehensive review of the most common interstitial lung diseases and their hrct findings. learn about the various diseases that make up the broader term of interstitial lung disease (ild), and some. ila is a common incidental finding at ct that affects more than 5% of any lung zone and may progress to pulmonary fibrosis. learn. Ild Radiology Assistant.
From www.slideshare.net
The radiology assistant chest x ray lung disease Ild Radiology Assistant learn about the various diseases that make up the broader term of interstitial lung disease (ild), and some. learn how to identify and differentiate the four patterns of interstitial lung disease (ild) on chest radiographs and ct scans: learn how to interpret hrct examinations of the lung with a practical approach based on anatomy, patterns and. . Ild Radiology Assistant.
From radiologyassistant.nl
The Radiology Assistant Chest XRay Lung disease Ild Radiology Assistant learn how to identify and differentiate the four patterns of interstitial lung disease (ild) on chest radiographs and ct scans: ila is a common incidental finding at ct that affects more than 5% of any lung zone and may progress to pulmonary fibrosis. learn about the various diseases that make up the broader term of interstitial lung. Ild Radiology Assistant.
From icc.edu
Radiology Assistant Illinois Central College Ild Radiology Assistant learn how to identify and differentiate the four patterns of interstitial lung disease (ild) on chest radiographs and ct scans: a comprehensive review of the most common interstitial lung diseases and their hrct findings. learn about the various diseases that make up the broader term of interstitial lung disease (ild), and some. learn about the causes,. Ild Radiology Assistant.
From www.youtube.com
Careers as a radiology assistant YouTube Ild Radiology Assistant learn how to interpret hrct examinations of the lung with a practical approach based on anatomy, patterns and. learn about the causes, symptoms, pathology and radiological features of interstitial lung disease (ild), a group of disorders that affect the. ila is a common incidental finding at ct that affects more than 5% of any lung zone and. Ild Radiology Assistant.
From radiochoices.blogspot.com
How To A Radiology Assistant Radio Choices Ild Radiology Assistant learn how to identify and differentiate the four patterns of interstitial lung disease (ild) on chest radiographs and ct scans: learn about the various diseases that make up the broader term of interstitial lung disease (ild), and some. learn how to interpret hrct examinations of the lung with a practical approach based on anatomy, patterns and. . Ild Radiology Assistant.
From exomtfjnf.blob.core.windows.net
Pediatric Ild Radiology at Johnnie Sharp blog Ild Radiology Assistant ila is a common incidental finding at ct that affects more than 5% of any lung zone and may progress to pulmonary fibrosis. learn how to interpret hrct examinations of the lung with a practical approach based on anatomy, patterns and. learn about the causes, symptoms, pathology and radiological features of interstitial lung disease (ild), a group. Ild Radiology Assistant.
From www.asrt.org
Careers in Radiologic Technology ASRT Ild Radiology Assistant learn about the causes, symptoms, pathology and radiological features of interstitial lung disease (ild), a group of disorders that affect the. ila is a common incidental finding at ct that affects more than 5% of any lung zone and may progress to pulmonary fibrosis. learn about the various diseases that make up the broader term of interstitial. Ild Radiology Assistant.
From radiologykey.com
Interstitial Lung Disease Radiology Key Ild Radiology Assistant learn how to interpret hrct examinations of the lung with a practical approach based on anatomy, patterns and. a comprehensive review of the most common interstitial lung diseases and their hrct findings. learn about the causes, symptoms, pathology and radiological features of interstitial lung disease (ild), a group of disorders that affect the. learn about the. Ild Radiology Assistant.
From radiologykey.com
Interstitial Lung Disease Radiology Key Ild Radiology Assistant learn about the various diseases that make up the broader term of interstitial lung disease (ild), and some. learn how to identify and differentiate the four patterns of interstitial lung disease (ild) on chest radiographs and ct scans: learn how to interpret hrct examinations of the lung with a practical approach based on anatomy, patterns and. . Ild Radiology Assistant.
From www.researchgate.net
Chest xray of CVID/ILD patient demonstrating presence of 1.6 cm... Download Scientific Diagram Ild Radiology Assistant learn how to identify and differentiate the four patterns of interstitial lung disease (ild) on chest radiographs and ct scans: ila is a common incidental finding at ct that affects more than 5% of any lung zone and may progress to pulmonary fibrosis. learn about the various diseases that make up the broader term of interstitial lung. Ild Radiology Assistant.
From radiologyassistant.nl
The Radiology Assistant Pulmonary Fibrosis Ild Radiology Assistant learn how to identify and differentiate the four patterns of interstitial lung disease (ild) on chest radiographs and ct scans: learn about the various diseases that make up the broader term of interstitial lung disease (ild), and some. ila is a common incidental finding at ct that affects more than 5% of any lung zone and may. Ild Radiology Assistant.